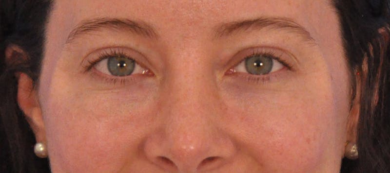
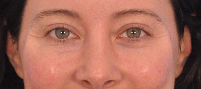
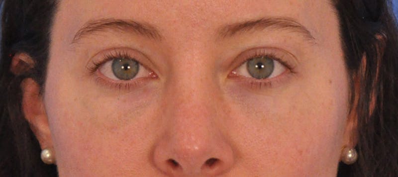
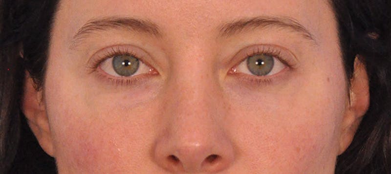
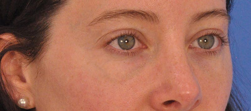
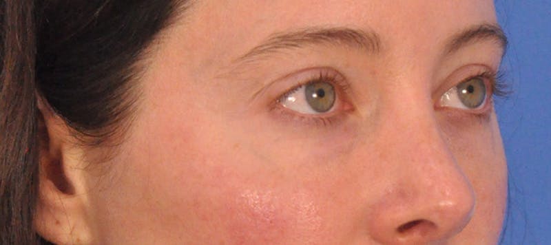
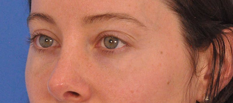
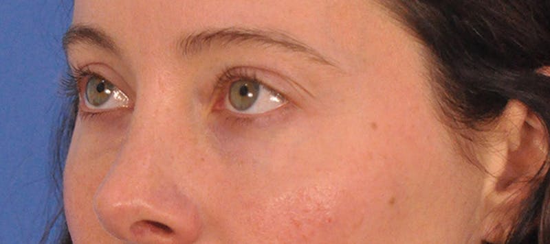
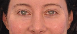
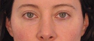
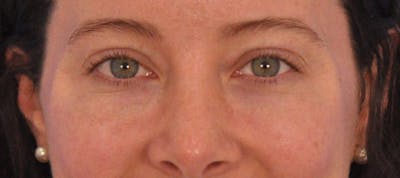
This beautiful patient’s transformation was all about balance and intentionality.
We addressed a few key areas to create a refreshed, naturally contoured result - without ever doing too much at once.
- Medial cheek filler using Revanesse Contour to softly lift and support the under-eye area.
- Tear trough filler using Restylane Classic, gradually built over time to avoid overfilling and maintain a rested, smooth appearance
- Lip filler using Revanesse Ultra for natural volume and enhanced hydration
She also underwent a dissolving journey to address previous puffiness, and together we created a treatment plan that focused on rebuilding in a way that supported her features - not masked them.
Enhancement is never one-size-fits-all. It’s about listening, planning, and adjusting until everything feels just right.
























