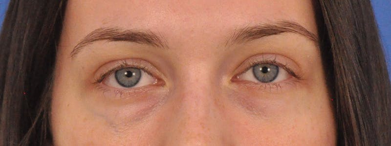
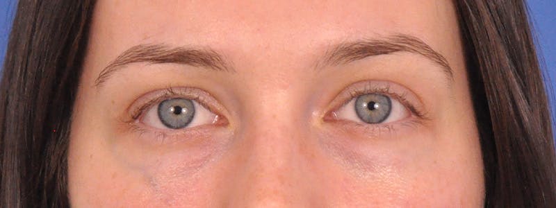
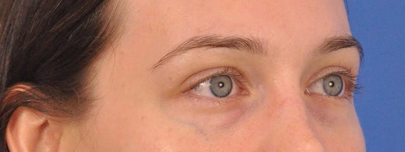
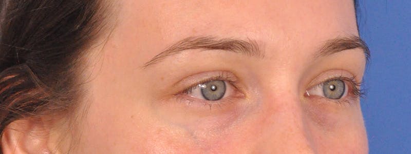
Performed by Alyssa NP
One of the most common concerns I hear in clinic is: “I look tired, even when I’m not.”
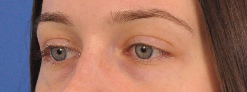
For this beautiful patient, I used @Revanesse Contour to treat the anterior cheeks. By restoring subtle volume in this area, we were able to improve the shadowing beneath the eyes and create a smoother transition from the lower eyelid into the cheek - without placing filler directly into the tear troughs.
💉 Why treat the cheeks?
Softens the appearance of under-eye shadows
Restores midface volume for balance
Creates a refreshed, well-rested look
Enhances natural facial harmony
The key is subtlety - you should never look “done,” just refreshed. I love seeing the boost of confidence this treatment can bring.





















