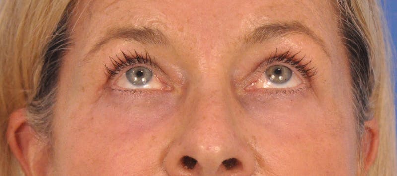
𝟔 𝐌𝐎𝐍𝐓𝐇𝐒 𝐏𝐎𝐒𝐓-𝐎𝐏: Upper Blepharoplasty, Transconjunctival Lower Blepharoplasty + CO2 Laser to Lower Eyelids
𝙏𝙧𝙚𝙖𝙩𝙚𝙙 𝙗𝙮 𝘿𝙧. 𝘽𝙧𝙖𝙘𝙚
This patient’s results show the lasting impact of combining surgical precision with advanced laser technology for comprehensive eyelid rejuvenation.
👉🏻 Upper Blepharoplasty
Removed excess skin from the upper eyelids, brightening and opening the eyes for a more awake and refreshed look.
👉🏻 Transconjunctival Lower Blepharoplasty
Performed from the inside of the lower eyelid (no external scar), allowing us to reposition and smooth fat pads that caused puffiness and under-eye bags.
👉🏻 CO2 Laser Resurfacing to Lower Eyelids
Enhanced skin texture and elasticity, reducing fine lines and crepiness around the eyes.
At 6 months post-procedure, her eyes appear brighter, smoother, and more youthful - while maintaining a natural, balanced expression.
These results highlight the power of a combined approach to address both structural changes and skin quality around the eyes.



















































