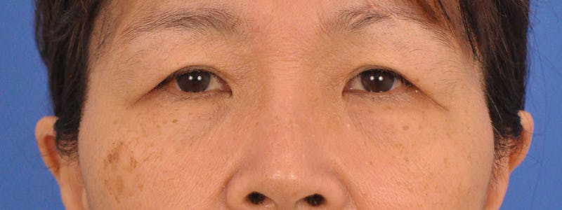
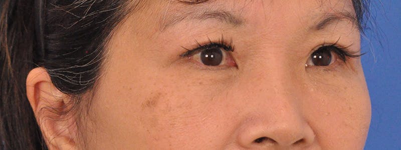
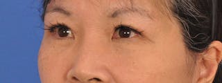
𝟔 𝐌𝐎𝐍𝐓𝐇𝐒 𝐏𝐎𝐒𝐓 𝐎𝐏:
Comprehensive Facial Rejuvenation
𝙏𝙧𝙚𝙖𝙩𝙚𝙙 𝙗𝙮 𝘿𝙧. 𝘽𝙧𝙖𝙘𝙚
A stunning refresh for this lovely patient! At six months post-op, this patient’s results beautifully demonstrate the power of a thoughtfully planned, multi-procedure approach to facial rejuvenation.
This treatment plan combined a deep plane lateral facelift, temporal brow lift with upper blepharoplasty, and a transconjunctival lower blepharoplasty to address facial aging while preserving natural expression and movement.
✨ What each procedure contributes:
Deep Plane Lateral Facelift - Repositions deeper facial tissues to restore youthful contours through the cheeks and jawline, creating lift without tension or a “pulled” appearance.
Temporal Brow Lift with Upper Blepharoplasty - Gently elevates the brow and removes excess eyelid skin to open and refresh the eyes.
Transconjunctival Lower Blepharoplasty - Reduces lower eyelid puffiness and softens hollowing without external incisions, maintaining a smooth, natural under-eye appearance.
At the 6-month mark, swelling has resolved, incisions have matured beautifully, and facial contours appear soft, balanced, and natural. The result is a refreshed, well-rested appearance that still looks completely like the patient, just rejuvenated.
We are so grateful to this patient for allowing us to share her photos.











































































































































