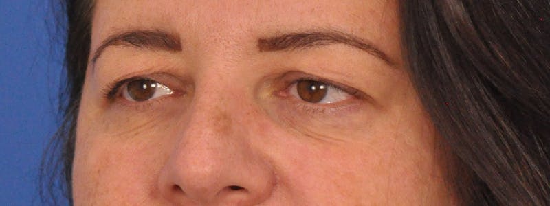
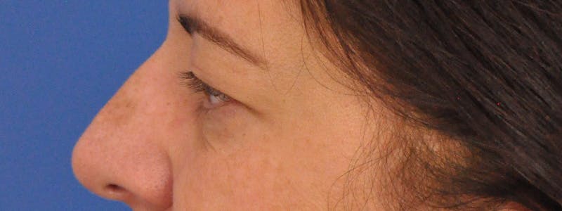
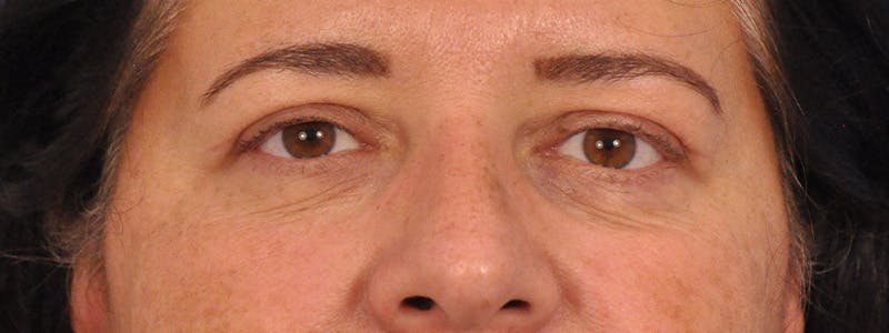
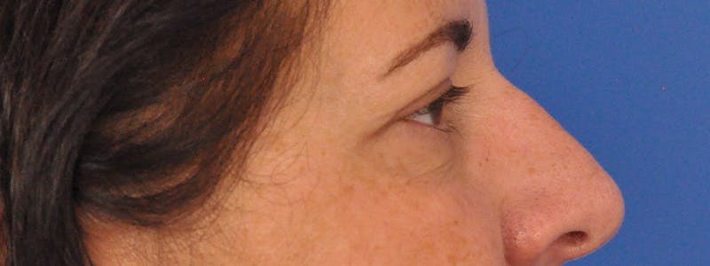
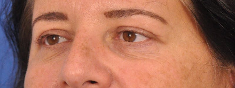
𝟔 𝐌𝐎𝐍𝐓𝐇𝐒 𝐏𝐎𝐒𝐓 𝐎𝐏: Upper Blepharoplasty
𝙏𝙧𝙚𝙖𝙩𝙚𝙙 𝙗𝙮 𝘿𝙧. 𝘽𝙧𝙖𝙘𝙚
At six months post-op, this patient’s results show a beautifully refreshed and natural outcome following an upper blepharoplasty.
An upper blepharoplasty is performed to remove excess skin from the upper eyelids that can create a heavy, tired, or aged appearance. For some patients, this excess skin can also interfere with vision. The goal is not to change the eyes but to restore a more open, rested look while preserving natural expression.
✨ Why patients choose an upper blepharoplasty:
To reduce heaviness or drooping of the upper eyelids
To look more awake and refreshed
To improve peripheral vision affected by excess skin
To restore balance and brightness to the eyes
At the 6-month mark, swelling has fully resolved and incisions have healed beautifully, blending naturally into the eyelid crease. The result is subtle yet impactful - eyes that look brighter, lighter, and more youthful.
This procedure is a great example of how small, precise surgical changes can make a meaningful difference.











































































































































