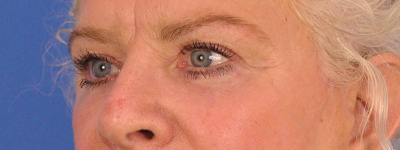
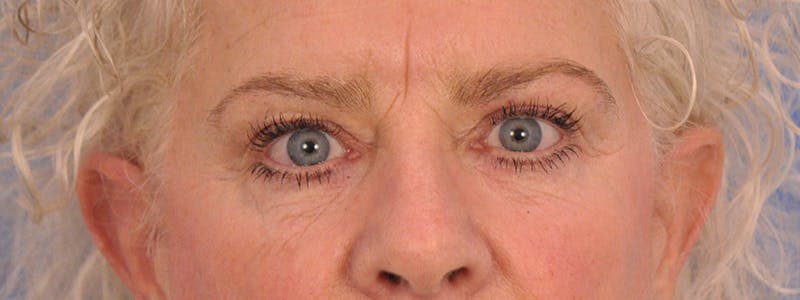
𝟔 𝐌𝐎𝐍𝐓𝐇𝐒 𝐏𝐎𝐒𝐓-𝐎𝐏:
Comprehensive Facial Rejuvenation
𝙏𝙧𝙚𝙖𝙩𝙚𝙙 𝙗𝙮 𝘿𝙧. 𝘽𝙧𝙖𝙘𝙚
This beautiful transformation shows the power of combining multiple procedures for a balanced, natural, and long-lasting result.
At 6 months post-op, swelling has settled, and our lovely patient has a refreshed, youthful, and natural appearance.
👉🏻 Face & Neck Lift with Submentoplasty
Lifted and repositioned deeper tissues, restored jawline definition, and refined the area beneath the chin for a sharper profile.
👉🏻 Upper Blepharoplasty
Removed excess upper eyelid skin to brighten and open the eyes.
👉🏻 Transconjunctival Lower Blepharoplasty with Fat Transfer
Reduced under-eye puffiness and softened hollowness by repositioning fat pads and restoring volume.
👉🏻 Full Face CO2 Laser Resurfacing
Improved overall skin quality by stimulating new collagen, reducing fine lines, evening tone, and addressing sun damage.
These treatments together can address:
Facial and neck laxity
Jowling and chin fullness
Heavy or tired eyelids
Under-eye puffiness and shadowing
Fine lines, wrinkles, and skin texture concerns
Pigmentation and sun damage








































































































































