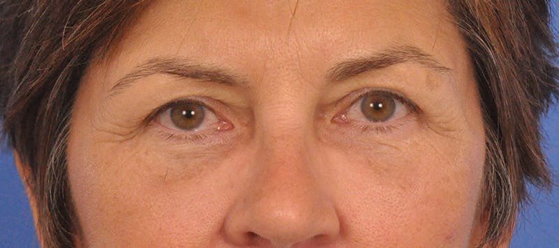
𝟔 𝐌𝐎𝐍𝐓𝐇𝐒 𝐏𝐎𝐒𝐓-𝐎𝐏:
Transconjunctival Lower Blepharoplasty with Fat Grafting
𝙏𝙧𝙚𝙖𝙩𝙚𝙙 𝙗𝙮 𝘿𝙧. 𝘽𝙧𝙖𝙘𝙚
Brightened and refreshed eyes! This patient’s 6-month results highlight how powerful a subtle, well-planned rejuvenation can be.
👉🏻 Transconjunctival Lower Blepharoplasty
Performed through an incision inside the lower eyelid — leaving no external scar - to carefully remove and reposition excess fat that contributes to puffiness and under-eye bags.
👉🏻 Fat Grafting
Used to restore soft, natural volume in areas of hollowing, blending the lower eyelid with the upper cheek for a smoother, more youthful transition.
👉🏻 The result:
A refreshed, rested appearance that still looks completely natural - without changing the patient’s unique features.
This combination approach is ideal for addressing puffiness, shadowing, and volume loss in the under-eye area while maintaining a seamless, balanced result.














































































































































