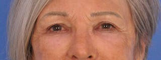
𝟔 𝐌𝐎𝐍𝐓𝐇𝐒 𝐏𝐎𝐒𝐓-𝐎𝐏:
Comprehensive Facial Rejuvenation
𝙏𝙧𝙚𝙖𝙩𝙚𝙙 𝙗𝙮 𝘿𝙧. 𝘽𝙧𝙖𝙘𝙚
This patient’s transformation is a beautiful example of how combining surgical and laser rejuvenation can create a natural, harmonious result.
👉🏻 Deep Plane Face & Neck Lift
Lifted and repositioned deeper facial tissues to restore youthful contours and define the jawline and neck, all while maintaining a natural appearance.
👉🏻 Upper Blepharoplasty
Removed excess eyelid skin to refresh and open the eyes.
👉🏻 Transconjunctival Lower Blepharoplasty with Fat Transfer
Reduced puffiness and softened hollowing beneath the eyes by repositioning and restoring volume for a smoother, rested look.
👉🏻 Full Face CO2 Laser
Enhanced overall skin texture, tone, and radiance by stimulating collagen and reducing fine lines, sun damage, and pigmentation.
The result:
Balanced, natural rejuvenation from skin to structure - restoring vitality and confidence while maintaining authenticity in every expression.











































































































































