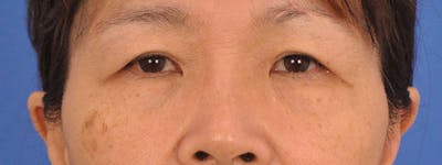
For this lovely patient who was particularly bothered by her upper eyelids, Dr. Brace performed an upper lid blepharoplasty and then a CO2 laser spot treatment for the lower lids. You can see how this combination of procedures brightened and refreshed her eyes!






























































































































