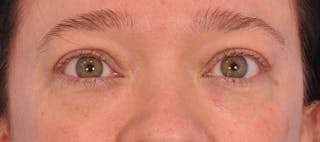
This beautiful 37 year old woman was bothered by the appearance of her lower eyelids. Anatomically she has prominent eyes and protrusion of the fat pads that cushion the eye. Dr. Brace performed a scarless lower eyelid surgery to release the fat and reposition it into the cheek to soften the transition of cheek to eyelid and fill the tear trough shadow. The eyelids were further softened with subtle fat grafting using abdominal fat to further frame the eyes. She is seen 3.5 months out from surgery well healed and with a natural and rejuvenated appearance.





































































































































